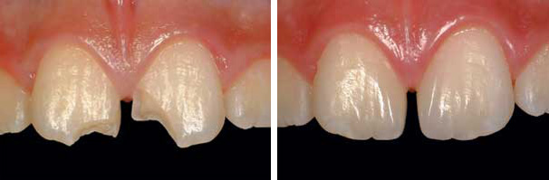
Restore Your Chipped Teeth with Our Walnut Creek Cosmetic Dentist
Chipped, cracked, or broken teeth can affect not only your appearance but also your confidence. Fortunately, cosmetic bonding offers a quick and effective solution to restore the natural beauty of your smile. At Dental Care of Walnut Creek, our Walnut Creek cosmetic dentist specializes in using this versatile procedure to repair damaged teeth, providing a seamless and natural-looking finish.

What is Cosmetic Bonding?
Cosmetic bonding is a non-invasive dental procedure that uses a tooth-colored composite resin to repair minor imperfections. This material is carefully applied and sculpted to match the shape, size, and shade of your natural teeth. Bonding is ideal for addressing a variety of cosmetic concerns, including:
- Chipped or cracked teeth
- Gaps between teeth
- Minor discoloration
- Misshapen teeth
Why Choose Cosmetic Bonding?
One of the biggest advantages of cosmetic bonding is its simplicity. The procedure is typically completed in just one visit to our Walnut Creek cosmetic dentist office, making it an excellent option for those seeking immediate results. Other benefits include:
- Cost-Effective: Bonding is often more affordable than other cosmetic treatments like veneers or crowns.
- Minimally Invasive: No significant tooth preparation is required, preserving your natural tooth structure.
- Natural Appearance: The composite resin blends seamlessly with your teeth for a flawless finish.
What to Expect During the Procedure
The process begins with a consultation at Dental Care of Walnut Creek. Our Walnut Creek cosmetic dentist team will evaluate your teeth and discuss your goals to determine if bonding is the right option for you.
During the procedure:
1. The tooth's surface is gently roughened, and a conditioning liquid is applied to help the resin adhere.
2. A custom-shaded composite resin is applied and sculpted to the desired shape.
3. A special curing light hardens the material, ensuring durability.
4. The bonded area is polished for a smooth, natural-looking finish.
Additional Treatment Options
While bonding is an excellent solution for minor damage, more extensive issues may require alternative treatments like veneers or crowns. Our Walnut Creek cosmetic dentist will recommend the best option based on the degree of repair needed.
Schedule Your Appointment Today
Don’t let chipped or broken teeth keep you from smiling confidently. Cosmetic bonding is a fast, effective way to restore your smile’s appearance and function. To learn more or schedule an appointment with our trusted Walnut Creek cosmetic dentist, call Dental Care of Walnut Creek at (925) 255-0132 today!



