Replace Old, Metal Fillings with Strong Composite Fillings in Walnut Creek CA
At Dental Care of Walnut Creek, we believe in offering treatments that enhance both the health and appearance of your smile. Advances in dental technology now allow us to replace old metal fillings with modern, tooth-colored options that are durable, safe, and aesthetically pleasing. If you are looking for a reliable solution to restore your teeth, our composite fillings in Walnut Creek CA are an excellent choice.
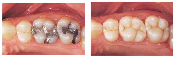
Why Replace Metal Fillings?
Traditional silver amalgam fillings, while effective in the past, present several issues over time. These metal fillings can separate from the tooth as they age, allowing decay to develop underneath. Additionally, their metallic nature does not blend well with the natural color of your teeth, which can affect the appearance of your smile. Large amalgam fillings can also weaken the tooth structure, increasing the risk of fractures.
Replacing old metal fillings with composite fillings in Walnut Creek CA addresses these problems while improving both the function and aesthetics of your teeth. Composite resin is a metal-free material designed to bond seamlessly to your natural tooth, providing a strong and long-lasting restoration.
The Composite Filling Procedure
Whether you need a new filling or want to replace existing metal ones, the process for composite fillings is straightforward and minimally invasive.
1. Assessment and Preparation: During your visit, our team will examine your teeth to assess the condition of your current fillings or cavities. Once the affected area is identified, the old filling or decay is carefully removed.
2. Application of Composite Resin: The composite material is applied in layers to the prepared tooth. Each layer is hardened using a special curing light to ensure a strong bond.
3. Shaping and Polishing: After the filling is in place, we shape and polish it to match the contours of your tooth. The result is a smooth, natural-looking restoration that blends perfectly with your smile.
Benefits of Composite Fillings
Choosing composite fillings in Walnut Creek CA offers numerous advantages:
• Aesthetics: Composite resin matches the color and texture of natural teeth, making it nearly invisible.
• Durability: The material bonds securely to your tooth, providing strength and stability.
• Preservation: Composite fillings require less removal of healthy tooth structure compared to metal fillings.
Restore Your Smile Today
At Dental Care of Walnut Creek, we are committed to helping you achieve a healthier, more beautiful smile. If you're considering replacing old metal fillings or need a cavity filled, composite fillings in Walnut Creek CA provide a modern, effective solution. Call us at (925) 253-5806 to schedule your appointment today. Let us help you enjoy the benefits of a strong, radiant smile!





