Walnut Creek Teeth Whitening Give You the Brighter Smile You've Been Looking For
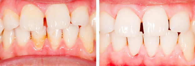
If you're looking for a brighter, more radiant smile, our Walnut Creek teeth whitening treatment may be just what you need. At Dental Care of Walnut Creek, we offer professional in-office whitening using the Zoom system, a safe and efficient way to transform your smile in under an hour. This quick, highly effective procedure can give you a noticeable lift in tooth brightness, typically achieving a 5-10 shade difference in just one 45-minute session. We’re dedicated to helping you achieve the confident, bright smile you’ve always wanted.
The Benefits of Professional Teeth Whitening
While over-the-counter whitening products may be readily available, they often don’t provide the same dramatic results as professional treatment. Our Walnut Creek teeth whitening with Zoom involves the use of a concentrated whitening gel, which is carefully applied by our skilled team. Unlike at-home kits, this treatment is customized to your unique needs and is performed under expert supervision to maximize results safely.
What to Expect During Your Whitening Appointment
Your whitening journey starts with an examination of your teeth and gums to ensure they are healthy and ready for treatment. After confirming the health of your mouth, our doctors will determine your starting shade using a shade guide. This initial color-matching helps us track your progress and provide accurate results. The Zoom process itself is simple and comfortable. You’ll be seated in a relaxed position while the whitening light activates a specially formulated gel applied to your teeth. This light-activated gel breaks down stains, helping lift years of discoloration and revealing a brighter smile.
Maintaining Your Brighter Smile
After completing your in-office Walnut Creek teeth whitening session, we provide you with a take-home whitening kit. This kit includes touch-up products that will help you maintain your new, brighter smile in between visits. We recommend following the instructions provided for optimal results and avoiding dark-colored foods and beverages, such as coffee, wine, and tea, immediately after treatment to preserve your results.
Why Choose Walnut Creek Teeth Whitening?
For those seeking a safe, fast, and effective solution to a dull or discolored smile, our Walnut Creek teeth whitening treatment is a fantastic choice. With professional-grade whitening systems like Zoom, you can enjoy longer-lasting results compared to over-the-counter options and have the added peace of mind knowing the procedure is monitored by dental professionals.
Ready to get started on your journey to a brighter smile? Contact us today at (925) 253-5803 to schedule your Walnut Creek teeth whitening appointment! Let us help you achieve the brilliant smile you deserve.





